0615645133 saijaidc2022@gmail.com​

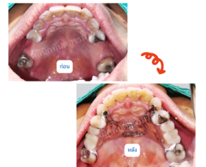
09. ฟันปลอม

 ฟันปลอมชนิดถอดได้
  • ฟันปลอมฐานพลาสติก
  • ฟันปลอมทั้งปาก

 

  • ฟันปลอมฐานโลหะ 

                ติดต่อเรา
คลินิกทันตกรรมใส่ใจ line